
Mike D.: Crowns on upper and lower teeth

Jared R.: Invisalign with whitening and crowns.


Terri S.: Patient had front tooth root fracture that was replaced with implant crown.

P’aris: Young patient who was consuming sugary drinks over a long period of time that resulted in rampant decay. Teeth were restored with crowns.

James L.: I would like to thank Dr. Rados for doing such a fantastic job and putting a smile on my face I haven’t had in a long time!

Courtney H.: Acid erosion damage corrected with crowns and a bridge.

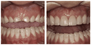
Steven V.: Patient was unhappy with the gaps and uneven positioning of his teeth. Treatment was completed with crowns and bite adjustment.

Jaqueline: Invisalign Treatment

Bioclear® Restoration (old amalgam replacement): The old amalgam was replaced using the Bioclear® system, restoring the tooth with a seamless, natural look and improved function.

Carlos A.: ZOOM Whitening before and after.

Invisalign: Before & After

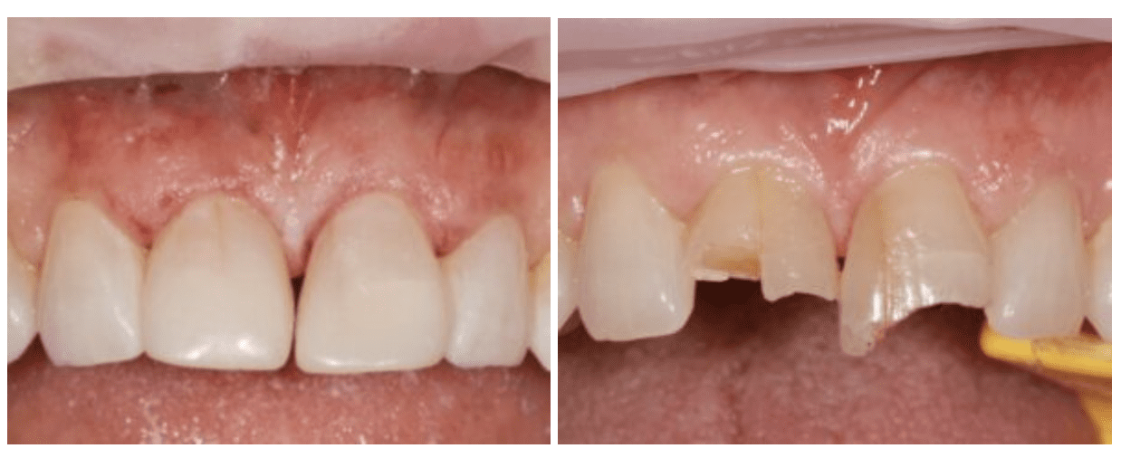
Bioclear® Restoration: This patient came to us for a same-day emergency with fractured and worn front teeth that affected both function and appearance. Using the Bioclear® method, we were able to conservatively restore the teeth with seamless, strong, and natural-looking composite.
